ΑΞΟΝΙΚΟΣ ΠΥΡΓΟΥ ΣΥΓΧΡΟΝΗ ΑΠΕΙΚΟΝΙΣΗ ΙΔ. ΑΚΤΙΝΟΛΟΓΙΚΟ ΚΕΝΤΡΟ (ΣΤΑΣΙΝΟΠΟΥΛΟΣ ΑΝΤ. ΔΗΜΗΤΡΗΣ)

Περιγραφή

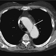
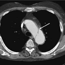
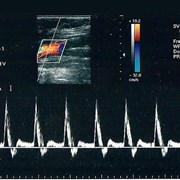
Το διαγνωστικό κέντρο ΑΞΟΝΙΚΟΣ - ΜΑΓΝΗΤΙΚΟΣ ΠΥΡΓΟΥ - ΣΤΑΣΙΝΟΠΟΥΛΟΣ ΔΗΜΗΤΡΙΟΣ βρίσκεται στον Πύργο. Είναι εφοδιασμένο με τη νέα τεχνολογία, προσφέροντας υψηλής ποιότητας υπηρεσίες.Ο μαγνητικός τομογράφος διαθέτει μία καινοτόμα τεχνολογία σάρωσης. Ο υψηλός αριθμός καναλιών του μαγνητικού τομογράφου συμβάλλει σε εικόνα ανάλογης ποιότητας, ενώ, ταυτόχρονα, συντομεύει σημαντικά τη διάρκεια διεξαγωγής της εξέτασης. Ο μαγνητικός τομογράφος διαθέτει ευρύ άνοιγμα, ώστε ο εξεταζόμενος να νιώθει μεγαλύτερη άνεση κατά τη διάρκεια της εξέτασης.Ο ιατρός κ. Στασινόπουλος Δημήτρης εγγυάται την ιατρική φροντίδα, ενώ το ειδικά εκπαιδευμένο τεχνολογικό και νοσηλευτικό προσωπικό διασφαλίζει την υψηλή ποιότητα των εξετάσεων, την ασφάλεια και την άνεση των ασθενών.Με την εγκατάσταση του νέου μαγνητικού τομογράφου, ο οποίος είναι διαθέσιμος στο κοινό, το ιδιωτικό ακτινοδιαγνωστικό κέντρο είναι σε θέση να προσφέρει ακόμα ποιοτικότερες υπηρεσίες, αξιοποιώντας την τεχνολογία αιχμής.Ο μαγνητικός τομογράφος αλλάζει πραγματικά τα δεδομένα στο χώρο της μαγνητικής τομογραφίας, προσφέροντας με τον πλέον φιλικό τρόπο τις ταχύτερες και πιο αξιόπιστες εξατομικευμένες εξετάσεις, με διάγνωση υψηλού επιπέδου. Είναι ειδικά σχεδιασμένος, ώστε να καλύπτει όλο το εύρος των κλινικών εξετάσεων, επιτρέποντας την εξέταση ακόμη και ομάδων ασθενών που αντιμετωπίζουν δυσκολίες. Το μεγάλο άνοιγμά του και η ενισχυμένη μηχανικά κατασκευή του τον καθιστούν ακόμη πιο φιλικό. Αξιοποιώντας την καινοτόμο τεχνολογία των πηνίων του, ο μαγνητικός τομογράφος ελαττώνει σημαντικά τους χρόνους εξέτασης, βελτιώνοντας συγχρόνως την ποιότητα της απεικόνισης.Όλα τα πρωτόκολλα εξετάσεων προσαρμόζονται στις ανάγκες του εκάστοτε ασθενούς, γρήγορα και εύκολα. Στο πλαίσιο αυτό, ακόμα και οι πιο δύσκολες εξετάσεις γίνονται ταχύτατα, πάντα με βάση τις ιδιαιτερότητες του εξεταζόμενου και την οδηγία του γιατρού. Η απεικόνιση είναι εξαιρετική ακόμη και στις πιο δύσκολες παθολογίες και σύνθετες ανατομικές μορφές.Διαθέτοντας πραγματικά ρηξικέλευθη τεχνολογία, ο μαγνητικός τομογράφος θέτει νέα πρότυπα στην αποδοτικότητα των εξετάσεων και στη φροντίδα του εξεταζόμενου. Χάρη στην ισχύ του μαγνητικού του πεδίου, είναι ικανός να παράγει εικόνες υψηλής διακριτικότητας και άριστης διαγνωστικής ποιότητας, λεπτομερέστατη και ταχύτατη απεικόνιση.Οι εξεταζόμενοι αισθάνονται άνετα και χαλαρά, κατά τη διάρκεια της εξέτασης. Η διάρκεια της εξέτασης είναι σαφώς μικρότερη συγκριτικά με άλλες τεχνολογίες. Αναμφισβήτητα, ανήκει στη νέα γενιά μαγνητικών τομογράφων, που χαρακτηρίζονται για τις κορυφαίες απεικονιστικές τους δυνατότητες.Στον πολυτομικό αξονικό τομογράφο πραγματοποιούνται οι εξής διαγνωστικές εξετάσεις: αξονική τομογραφία εγκεφάλου, αξονική τομογραφία θώρακος, αξονική τομογραφία σπονδυλικής στήλης, αξονική τομογραφία μυοσκελετικού συστήματος, αξονική τομογραφία κοιλίας, αξονική τομογραφία γνάθου, αξονική πυελογραφία, υπερηχοτομογραφία, μέτρηση οστικής πυκνότητας, triplex.Η γνώση, η κατάρτιση και η εμπειρία στον τομέα της απεικόνισης, σε συνδυασμό με την υψηλή τεχνολογία των συγκεκριμένων μηχανημάτων, αναβαθμίζουν συνεχώς τις ιατρικές υπηρεσίες που προσφέρονται στον τόπο μας, αλλά και στους πολίτες της ευρύτερης περιοχής, πάντα προς όφελος του εξεταζόμενου.Στασινόπουλος Δημήτριος,Ιατρός ακτινοδιαγνώστης

Τηλέφωνο: 2621023450
Κινητό: 6970093334
Email: stasinopoulosdimitris [at] yahoo.gr (stasinopoulosdimitris[at]yahoo[dot]gr)
Διεύθυνση: Μητρ.Αντωνιου 20
Επαγγελματική Κάρτα :
, Επαγγελματική Κάρτα :
, Επαγγελματική Κάρτα :
, Επαγγελματική Κάρτα :
, Επαγγελματική Κάρτα :
, Επαγγελματική Κάρτα :